Início » Trab. Estudantes » Biologia e TLB » 11º Ano

Trabalhos de Estudantes

Trabalhos de Biologia - 11º Ano

s

 

Mutações Genéticas

Autores: Helena Cerqueira

Escola: Escola Secundária de Amarante

Data de Publicação: 09/10/2012

Resumo do Trabalho: Trabalho sobre Mutações Genéticas, alterações ou modificações súbitas ou espontâneas, em genes ou cromossomas, realizado no âmbito da disciplina de Biologia (11º ano).

Ver Trabalho Completo

Comentar este trabalho / Ler outros comentários

Se tens trabalhos com boas classificações, envia-nos, de preferência em word através do Formulário de Envio de Trabalhos pois só assim o nosso site poderá crescer.

 

 

 

Mutações Genéticas

O que é uma mutação?

São alterações ou modificações súbitas ou espontâneas, em genes ou cromossomas, podendo ser transmitida à geração seguinte.

As mutações podem ser génicas, quando alteram a estrutura do DNA num determinado gene, ou cromossómicas, quando alteram a estrutura ou o número de cromossomas.

Como é que estas ocorrem?

1. Por erros na replicação de DNA que antecede uma divisão celular (mitose ou meiose).

2. Por erros relacionados com a individualização dos cromossomas, por exemplo no crossing-over, na separação de cromossomas ou de cromatídeos, durante uma divisão celular (meiose ou mitose).

Onde podem ocorrer?

1.  Nas células somáticas (durante a mitose) reflectindo-se nas células desse indivíduo descendentes da que sofreu a mutação (ex: tumores). Nesta situação designamos por mutações somáticas, (não são transmissíveis à descendência).

2.  Na formação dos gâmetas (meiose) - células da linhagem germinativa - e serão transmitidas hereditariamente. Nesta situação designamos por mutações germinais.

As mutações genéticas podem dividir-se em:

Mutações Génicas

 

 

Substituição

(substituição de uma só base do DNA)

Mutação silenciosa

Substituição de uma base do DNA por outra (no 3º nucleótido de cada codão), mas que resulta num codão que codifica o mesmo aminoácido, devido à redundância do código genético.

Mutação com perda de sentido

Substituição de uma base do DNA por outra, que tem como consequência a substituição de um aminoácido por outro na proteína codificada. A conformação da proteína pode ser alterada. (ex: anemia falciforme)

Mutação sem sentido

Substituição de uma base do DNA de tal modo que, no mRNA um codão que especifica um aminoácido é alterado para um codão de STOP, ou o contrário. Origina uma proteína mais curta ou mais longa do que a proteína normal.

Deleção

(remoção de uma ou mais bases do DNA)

Pode ser removida uma única base do DNA ou milhares delas. A remoção de um número de bases que não seja múltiplo de três altera completamente a mensagem do gene.

Inserção

(Adição de uma ou mais bases ao DNA)

O número de bases adicionadas ao DNA pode variar. A adição de um número que não seja múltiplo de três altera completamente a mensagem do gene. Quando é inserida uma sequência igual a outra ocorre uma duplicação.

Exemplos de mutações génicas (ou genética):

Anemia falciforme                                                     Albinismo
Distrofia miotônica                                                    Hipercolesterolmia familiar
Distrofia muscular de Duchene                                    Talassemia
Doença de Huntington                                               Síndrome de Marfan
Doença de Tay-Sachs                                               Fenicetonúria

Hemofilia A

 

Entre todas as mutações génicas existentes vou abordar um pouco do Albinismo:

Albinismo

1. Causas da doença:

As causas do albinismo variam de caso para caso, assim como a intensidade dos seus efeitos. Geralmente o albinismo é causado por falhas ao acaso (aleatórias) ou herdadas em um ou mais genes que regulam a produção de melanina (proteína responsável pela pigmentação e a primeira protecção do corpo contra os raios ultravioletas).

Uma pessoa pode ser portadora do gene que causa a doença e não ser albina (designação atribuída a seres que possuem albinismo). Contudo, na fecundação, se os dois genes que contem a mutação se juntarem, as células do bebé em formação não são programadas para produzirem melanina. Ou seja duas pessoas com o gene da doença, mas não sendo albinos, poderão eventualmente ter filhos albinos.

O albinismo decorre de um bloqueio incurável da síntese de melanina devido à ausência da enzima tirosinase nos melanócitos (célula dendítrica que produz melanina) os quais estão, entretanto, presentes em número normal, mas são incapazes de produzir o pigmento.

2. Manifestações:

Os sintomas podem ser subdivididos nos diferentes graus de Albinismo:

Albinismo Completo:

- A pele e os pêlos de cores branca, e os olhos de tom rosado;

- Movimento rápido dos olhos;

- Fotofobia (evitam luminosidade porque causa desconforto);

- Diminuição da perspicácia visual;

- Cegueira Funcional

Albinismo Ocular:

- A cor da íris pode variar de azul a verde e, em alguns casos, castanho-claro;

- a fóvea (responsável pela formação da imagem que será transmitida ao cérebro) tende a desenvolver-se menos, pela falta da melanina, que cumpre um papel central no desenvolvimento do olho, nos fetos.

Albinismo em geral:

 - Ausência de pigmentos na pele, nos olhos e na íris;

 - Ausência de pigmentos irregulares na pele;

3. Incidência

A incidência do albinismo é mais comum nos povos africanos. Qundo um dos pais possui o gene recessivo do albinismo, existe a probabilidade de transmissão de 25% em cada gravidez. No caso de um filho nascer saudável, há 50% de possibilidade de este ser portador do gene e gerar filhos com albinismo.

4. Consequências

As pessoas que são afectadas por esta mutação génica que provoca albinismo, tendem a uma maior probabilidade de sofrerem de cancro da pele ou de cegueira. As pessoas ou animais que sofrem da doença têm muito pouco ou mesmo nenhuma pigmentação nos seus olhos, pele ou cabelo. Os cabelos ou são totalmente brancos ou de um amarelo muito pálido. Na sua visão a íris é extremamente clara podendo os olhos chegarem a ser rosados, o que provoca uma grande dificuldade de visão em lugares bastante luminosos, sendo obrigados a usarem óculos escuros e graduados devido à sua sensibilidade à luz.

A pele dos albinos, sendo muito clara devido à carência de melanina, com a radiação solar pode vir a desenvolver cancro da pele caso os doentes não estejam devidamente protegidos com protector solar ou roupas adequadas. Pois a exposição solar não produz o efeito bronzeador, mas sim queimaduras de graus variados.

5. Tratamento

Quanto ao tratamento desta doença não se encontram muitas alternativas. Está na consciência de cada albino prevenir-se em relação à sua exposição solar.

Apesar disto, a terapia genética abre uma possibilidade para os portadores do albinismo. No futuro, estes pacientes poderão receber os genes que faltam a suas células "pigmentadoras", que ajudará na recuperação da capacidade de sintetizar a melanina.

As mutações cromossómicas podem dividir-se em: 

Mutações Génicas

Estruturais

Deleções

Falta uma porção de um cromossoma.

Duplicações

Numa região do cromossoma a informação genética está repetida.

Inversões

Remoção de um segmento de DNA e inserção numa posição invertida num outro local do cromossoma

Translocações

Troca de um segmento de DNA entre cromossomas homólogos. 

Numéricas

Poliploida

Existe pelo menos um conjunto completo de cromossomas a mais.

Aneuploidia

Existem cromossomas a mais ou a menos em relação ao número normal

Exemplos de mutações cromossómicas:

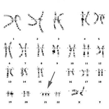
Síndrome de Down (Trissomia 21)

Síndrome de Edwards (Trissomia 18)

Síndrome de Patau (Trissomia 13)

Síndrome de deleção

Síndrome de Turner

Síndrome do triplo X

Síndrome de Klinefelter

Síndrome XYY

Síndrome do cromossoma X frágil

Leucemia mielóide crónica

Entre todas as mutações cromossómicas existentes vou abordar um pouco do Síndrome de Down:

Síndrome de Down (Trissomia 21):

1. Causas da Doença:

Na maioria dos casos, a origem corresponde a uma falha no processo de divisão das células germinativas que dá lugar à formação dos gâmetas de um dos progenitores, concretamente um defeito na separação do par de cromossomas 21. Como consequência desta falha, constituem-se óvulos ou espermatozóides com um cromossoma 21 extra: se um deles se une a um gâmeta normal do sexo oposto no momento da fecundação, originar-se-á uma célula ovo com 47 cromossomas, três deles do tipo 21. Essa falha da divisão das células germinativas pode produzir-se frequentemente em qualquer pessoa, tanto nos homens como nas mulheres e por motivos ainda não clarificados.

Com muito menos frequência, a origem pode corresponder a uma translocação cromossómica num dos progenitores, ou seja, a união anómala de dois cromossomas, normalmente um cromossoma 14 e um cromossoma 21. Em alguns casos, o defeito tem lugar no momento da divisão das células germinativas do pai ou da mãe, enquanto noutros a translocação existe previamente num dos progenitores, embora equilibrada, sem se manifestar.

Por último, numa reduzida percentagem de casos, a origem radica numa falha em alguma das primeiras divisões do zigoto, com a formação de uma linha celular normal e outra com um cromossoma 21 extra. O resultado dependerá do momento do desenvolvimento embrionário em que se produz a falha, uma vez que alguns órgãos serão formados por células normais e outros serão constituídos por células trissómicas.

2. Manifestações

As manifestações mais comuns da síndrome de Down são: dificuldades cognitivas, doenças cardíacas congénitas, deficiências auditivas,  desordens da tiróide e Alzheimer. Outros problemas menos comuns incluem leucemia, deficiências do sistema imunológico e epilepsia. Alguns dos problemas de saúde, como algumas malformações no coração, estão presentes no nascimento, enquanto outros, como epilepsia, tornam-se aparentes com o tempo.

3. Incidência

A incidência de síndrome de Down é estimada entre 1 por 800 a 1 por 1000 nascimentos, e ocorre em todos os grupos étnicos e classes sociais. 

A idade da mãe influi no risco de conceber uma criança com síndrome de Down. Quando a mãe tem idade entre 20 e 24 anos, o risco é de 1/1490, enquanto que com 40 anos é de 1/106 e com idade de 49 anos de 1/11. Embora o risco cresça com a idade da mãe, 80% das crianças com síndrome de Down são de mães com menos de 35 anos devido à maior fertilidade desse grupo etário.

4. Consequências

As pessoas com síndrome de Down têm traços físicos característicos: cabeça com um diâmetro ântero-posterior reduzido e achatada na parte posterior, testa estreita, olhos oblíquos e uma prega cutânea no ângulo interno, nariz pequeno e de base larga, orelhas pequenas e com implantação baixa, boca pequena, língua grande, queixo pouco desenvolvido e um pescoço curto e largo, tal como as mãos, com uma prega palmar transversal e um polegar curto, exactamente como os pés.

Nas pessoas com trissomia 21, destaca-se uma evidente hipotonia muscular presente já à nascença, devido à qual o lactente costuma mostrar-se pouco activo e, se não forem levados a cabo os devidos estímulos, costuma atrasar-se consideravelmente o andar e o sentar. Também existe uma tendência para o hipotiroidismo, que sem tratamento tem diversas repercussões. Costuma existir igualmente um certo grau de deficiência imunológica, que propicia uma predisposição para as infecções, assim como um risco de incidência de leucemia maior do que na população em geral. Além disso, numa significativa percentagem dos casos, existem malformações congénitas de órgãos internos, em particular do coração e do aparelho digestivo, assim como anomalias nos ouvidos e uma tendência para perturbações oculares que podem afectar a visão.

É de realçar que as pessoas com síndrome de Down costumam ser muito carinhosas, de personalidade tranquila e geralmente bem dispostas. Têm um desenvolvimento mental lento e podem ou não alcançar o nível intelectual médio próprio de cada idade, mas não é possível estipular limites concretos relativamente às possibilidades de aprendizagem e ao grau de autonomia que podem chegar a adquirir. Com uma adequada estimulação, o mais cedo possível, podem aprender a ler e a escrever, assim como alcançar um grau de autonomia suficiente para levar uma vida normal.

5. Tratamento

A deficiência mental acarretada pelo Síndrome de Down não tem cura, pois trata-se de uma alteração genética inalterável por qualquer droga, remédio ou técnica. Pesquisas têm sido desenvolvidas nesse sentido, mas nenhum resultado foi encontrado.

Contudo, uma criança com Síndrome de Down além ter um acompanhamento pediátrico normal, é necessário uma orientação geneticista. Além disso, a criança deve ser submetida a um tratamento de estímulos (terapia ocupacional) entre outros, que ajudarão  a minimizar os efeitos das alterações neuromotoras e fonoarticulatórias.

Webliografia/Bibliografia

. http://biohelp.blogs.sapo.pt/2939.html

. http://genetica-chaves.webnode.com/tipos%20de%20muta%C3%A7%C3%B5es/

. http://pt.wikipedia.org/wiki/Muta%C3%A7%C3%A3o

. http://varios.jromao.com/mutacoes/mutacoes/mutacoes-cromossomicas

Autores: Silva, Amparo Dias da; Santos, Maria Ermelinda; Gramaxo, Fernanda; Mesquita, Almira Fernanda; Baldaia, Ludovina; Félix, José Mário

Titulo: Terra, Universo de Vida Biologia 11.º

Edição: 1.ª Edição, Porto, 2008

Editora: Porto Editora

Autores: Reis, Jorge; Lemos, Paula; Guimarães, António

Titulo: Preparação para o Exame Nacional 2011

Editora: Porto Editora

 

Outros Trabalhos Relacionados

Ainda não existem outros trabalhos relacionados

Início » Trab. Estudantes » Biologia e TLB » 11º Ano